近期,来校医院口腔科洗牙的患者增多,患者大部分都会和医生说“牙齿太黑了,洗个牙,美白美白”。大家把洗牙当成了美容项目,其实这是一种误解。
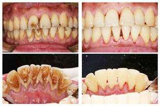
洗牙,专业术语为结石刮除,是借由各种器械(如超声波洁牙机,手动刮治器等)来去除附着于牙颈部与龈沟之间的牙结石和牙菌斑。从定义即可得知洗牙改变不了牙齿本身的颜色,只能去除牙周菌斑、软垢和牙石,以及一些吸烟、喝茶、有色饮料等造成的色素茶垢烟渍等,使原先被外源性的脏东西覆盖的牙齿现出本来面目,在视觉上起到“美白”的作用。下图是洗牙前后的对比图。

如果想达到改变牙齿颜色、给牙齿美白的目的,可以咨询您的口腔医生,让医生通过专门的美白方法,比如专业冷光美白、家庭用美白套装等来实现。除此以外还可以进行牙齿贴面,以达到改善牙齿的颜色和形态的目的
洗牙既然不能美白牙齿,那我们为什么还要洗牙呢?洗牙的主要目的是为了防治口腔疾病,而不是单纯为了好看。
牙龈与牙根面之间不是紧密附着,而是存在一条O.5—2毫米深的浅沟,称龈沟。正常牙龈与牙根面紧贴,呈不开放状态。龈沟内易积存食物碎屑,附着菌斑,成为细菌生长繁殖的良好区域,由于其呈封闭状态,不易清洁,常导致牙龈炎症及牙周疾病的发生。此外,牙齿邻接点下方也是难以彻底清洁的区域,仅靠刷牙并不能完全清除异物,容易成为引发牙龈疾病的隐患。有人认为每天认真刷牙,就不用洗牙了,这是不对的。因为牙齿在彻底清刷后的半小时内即会有新的菌斑形成,在30天内可达到最大量,久而久之即成为牙结石(就和烧水壶里堆积的软垢一样),当牙齿上有牙石和牙色素时就需要洗牙。但普通人并不知道什么是牙石,也没在意过牙齿的颜色改变,那么我们也可以通过一些症状来判断自己是不是该洗牙了。如果平时有刷牙出血、牙龈肿痛、牙龈萎缩、牙齿松动、口臭等等现象时,大家就要注意了,要及时去口腔科就诊看是否需要洗牙。
洗牙是一种专业性很强的技术工作,洗牙的场所要慎重选择,应该到正规医院找经过严格培训的医务人员来为您洗牙。据患者反映,在某些牙科诊所或美容院里洗牙,10来分钟就完成了。这种洗牙的方式有很大危害。第一,只清除看得见的牙垢,而留下了致病作用最强的深层的牙垢,达不到防治牙周病的目的。第二,损坏牙龈,尤其是对清除牙垢之后暴露出牙根时不能及时进行进一步的专业治疗,不仅导致患者疼痛难忍,还加重牙周病的病情。第三,洗牙器械消毒不严,极易造成交叉感染,给患者带来不应有的遗憾。
有的患者反映洗牙后会有异样或过敏的感觉。还有的患者担心洗牙后,牙缝宽了,牙齿会不会松动?其实牙石好像大棉袄,一旦脱去牙齿暴露在“久违”的环境里,就会产生种种异样的感觉。如果是健康的牙齿,一段时间以后,异样感会消失。如果牙缝大了,说明本身就有牙周病,而且牙龈萎缩了,去除牙石后给人以牙缝增宽的错觉。这不是治疗造成的,而是牙周病本身的原因。如不及时除去牙石,牙龈会进一步萎缩,反而会导致牙周病的发生,最终牙齿脱落。
最后建议成年人每半年到一年做一次洗牙,同时每天早晚认真刷牙,遇到口腔问题及时到专业医院就诊,这样才能拥有一口健康美丽的牙齿。
哈尔滨工程大学医院口腔科以先进的设备和专业的医护人员为师生患者提供优质的服务。





